Cientistas escoceses desenvolveram uma nova forma de escanear o coração que pode ajudar a identificar o risco de ataques cardíacos.
A técnica detecta a formação de placas nas artérias que levam sangue ao coração. Se uma dessas placas de gordura se rompe, a artéria pode ficar obstruída, bloqueando o fluxo do sangue e provocando o ataque cardíaco.
O estudo de cientistas da Universidade de Edimburgo, na Escócia, foi publicado na revista científica de medicina Lancet.
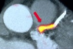
Eles usaram um marcador radiativo – uma substância química que ajuda a detectar as placas. Os cientistas conseguem visualizar essas placas com imagens de alta resolução do coração e das veias sanguíneas.
Assim, eles conseguem obter um retrato detalhado do coração, com as zonas de perigo claramente identificadas. Uma técnica semelhante é usada para detectar o local exato de tumores em pacientes com câncer.
Os primeiros testes foram feitos com 40 pacientes que haviam sofrido ataques cardíacos recentes. Com a técnica, os pesquisadores conseguiram localizar as zonas de perigo nas artérias em 37 deles.
Esta é a primeira vez que se consegue localizar as placas usando agentes químicos. O desafio agora, segundo os cientistas, é achar as zonas de perigo antes – e não depois – do ataque cardíaco.
“Eu acredito que nem todas as placas detectadas causarão ataques cardíacos, mas isso pode ser útil para identificar pacientes de alto risco que precisam de terapias mais agressivas”, disse à BBC o cardiologista Marc Dweck, um dos autores do estudo.
A técnica será usada agora em pacientes de alto risco de ataques cardíacos, entre eles alguns que estão prestes a passar por cirurgias.
Ele afirma que, caso a tecnologia se mostre eficaz nesses casos, isso poderá fazer uma “diferença enorme” na vida dos pacientes.
“Ataques cardíacos são a principal causa de morte no mundo ocidental, e não há aviso prévio – a primeira vez que as pessoas ficam sabendo de doença cardíaca é quando elas têm um ataque cardíaco.”
“Se nós podemos tratar e estabilizar as placas, poderemos prevenir ataques cardíacos e impedir as pessoas de morrer.”
O diretor da Fundação Cardíaca Britânica, Peter Weissberg, que não participou da pesquisa, disse que os cientistas conseguiram fazer algo que os exames cardíacos convencionais não conseguem.
“Agora precisamos confirmar esses resultados e entender como usar novos testes desse tipo em benefício dos pacientes cardíacos.”
Da Uol











